2020年5月18日上午,阆中市首例人工髋关节置换术后感染翻修患者在该院骨科痊愈出院。“髋关节翻修术”是指初次置换的人工髋关节假体因为感染、无菌性松动等原因失败后而进行的更换手术。髋关节翻修术因为难度大,技术要求高,成为了目前衡量一个医院骨科技术水平的公认指标。
患者出院
家住阆中市的张先生最近很困扰,因为他在3年前因“左股骨头缺血坏死”在南充上级医院做了“人工全髋关节置换术”。本来,换了髋关节之后挺好的,出行不用轮椅,还可以参加适度的锻炼,日常生活更是不在话下。但是在4个月前张先生突感手术部位疼痛,最开始他以为只是偶然的疼痛,忍忍就好了,但是没想到疼的越来越厉害,疼的不能走路了,他家人见状赶紧送到我院骨科就诊。
2019年12月20日,患者来到我院骨科门诊,经骨科吕彬林主治医师检查发现:患者左髋部手术切口红肿。考虑为“左侧人工髋关节置换术后远期感染”。吕医生立即将该患者收治入院,予对症治疗。
手术部位明显红肿
入院后,吕医生立即为张先生完善了相关检查,根据抽出的关节液细菌培养结果,患者为“金黄色葡萄球菌”感染,且药敏实验提示高度耐药,只对万古霉素等少数抗生素敏感。由于万古霉素是“特殊使用级抗生素”,经请示上级医师汪军副主任医师,决定立即调整治疗方案,静滴“万古霉素”控制感染。感染控制后,先行“人工髋关节旷置手术”,待旷置后,感染指标下降再为患者行“人工髋关节翻修术”。
经过6天的抗感染治疗后,患者的感染得到控制。2019年12月26日,张先生被送入了手术室,骨科汪军副主任医师与吕彬林主治医师先为张先生行“人工髋关节旷置术”,整个手术用时约3个小时,感染的人工关节假体被顺利取出。并使用双氧水、0.9%生理盐水、聚维酮碘反复冲洗后放入万古霉素骨水泥间隔器占位
术后继续使用万古霉素抗感染4周后,张先生拆线出院。出院时,吕医生告知他手术尚未完结,要求他遵医嘱每月到阆中市人民医院门诊复查炎性指标及进行DR摄片,并在医生指导下进行功能锻炼。
PK
手术前的x光成像
安放旷置器后
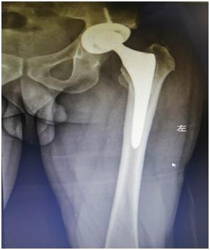
经过一段时间的康复和观察, 2020年4月23日,张先生再次入院,阆中市人民医院骨科汪军、何涛、吕彬林三位医生通力合作为张先生行“关节翻修术”。手术中将张先生左侧的人工髋关节间隔器取出,并按生理角度安放人工髋关节。2个小时后,患者顺利完成了手术并被送回病房,术后患者恢复良好,并于2020年5月18日出院。
据骨科吕彬林医生介绍:这种假体周围感染,单纯抗生素及局部脓肿清除,不能完全控制感染。且后期会出现感染扩散,局部形成窦道,破坏骨组织,甚至出现脓毒血症、败血症等全身感染。一般需要等患者感染控制、血象正常、局部红肿基本消退后,行髋关节翻修术。
人工关节翻修后
阆中市人民医院骨科成立于1991年,经过20余年的不懈努力,现已成为阆中市规模最大、技术力量最强的骨科专科。骨科现有古城、七里两个病区,开放床位共128张。
骨科的全体医护人员,将用诚挚的爱心,秉承救死扶伤的宗旨,为阆中广大人民的健康奉献自己的力量。
科室电话:0817-6232803(七里院区)
0817-6267963(古城院区)
知识链接:髋关节置换术后注意事项
1.搬运患者时,由 2 名护理人员托住患者头部和腰背部以及髋部,两名护士分别托住患者大腿和小腿,同时托起,保持患者在同一水平位,使患者始终处于外展中立位,平放在床上,平放后在两腿间放软枕,抬高患肢15°保持患髋肢体外展15°~30°中立位,防止髋关节过度屈曲、内收、内旋,牵拉肢体;
2.术后 3 周内适当进行早期功能锻炼,且髋关节屈曲应<60°;
3.不宜过早进行直腿抬高练习,每次坐姿不宜超过 30 min;
4.坐位:保持膝关节低于过等于髋部,不宜久坐,不宜坐过低的椅子,沙发,不要交叉腿和踝,前弯身不要超过90°,坐时身体向后靠腿向前伸,坐位时保持双足分开6英寸;
5.从坐位起立时,向椅子的边缘滑动,然后用助步架或拐杖支撑站起;
6.卧床时,在双腿之间放一个枕垫,使关节保持在适当的位置;
7.入厕:用加高的自制座便器入厕,或在辅助下身体后倾患腿前伸入厕,注意保持髋关节部高于膝关节;
8.取物:术后两周内不要弯腰捡地上的东西,不要突然转身或伸手去取身后的物品,吃饭时宜把饭碗放在面前;
9.乘车:臀部位置向前坐,身体向后靠,腿尽量前伸;
10.沐浴:伤口愈合后。辅持可靠可进行沐浴,因站着沐浴
11.穿鞋脱袜:请别人帮忙或使用鞋拔子,选择不系带的松紧鞋,宽松裤,行后外侧切口者可内侧提鞋,行前内侧切口者可外侧提鞋,避免弯腰动作;
12.完全康复后可进行的体育活动:散步,园艺,骑车,保龄球,乒乓球,游泳,跳舞,并保持适当的体重。避免进行对新髋关节产生过度压力造成磨损的活动,如跳跃,快跑,滑雪,滑水,网球等。
参考文献
[1]甘航.人工髋关节置换术后护理管理新进展[J].医药卫生管理, 2015, 33(11) : 175-177.
[2]李绍英,杨雪,周丽红,普雪梅.早期预防高龄患者髋关节置换术后并发症的护理对策[J].中国社区医师,2017,33(1):144-146.
[3]周孝丽.老年股骨颈骨折髋关节置换术后针对性护理的效果观察[J].中外医学研究, 2017,15(2):90-92.
[4]王义华.人工髋关节置换术后假体周围感染的预防及护理[J].当代护士, 2017, 12:15-17.
[5]朱海霞.全髋关节置换术后预防深静脉血栓形成护理进展[J].当代护士, 2016, 11:18-20.
[6]郑雪玲.工全髓关节置换术后感染原因及护理进展[J].世界最新医学信息文摘, 2016, 16(54):40-49.
(吕彬林)








